SOINS DENTAIRES ET D’ESTHÉTIQUE DU SOURIRE
Un sourire harmonieux et en bonne santé joue un rôle essentiel dans la confiance en soi. Grâce aux avancées de la dentisterie esthétique, il est possible de corriger la teinte, avec des solutions personnalisées et naturelles.
Au sein de notre Cabinet Dentaire 10 Foch, nous vous proposons des traitements sur-mesure : facettes céramiques, éclaircissement dentaire, ou encore traitements des gencives pour sublimer votre sourire. Nous veillons également à la préservation de votre capital dentaire en privilégiant des soins conservateurs respectueux de l’émail et des tissus dentaires.
Grâce aux technologies de pointe, nous pouvons vous offrir une approche moderne et précise, notamment avec la simulation 3D, permettant de visualiser le rendu de votre sourire avant même le début du traitement. Notre priorité : vous accompagner vers un sourire éclatant, en alliant esthétique, confort et bien-être.
IMPLANTS ET PROTHÈSES DENTAIRES
Perdre une ou plusieurs dents peut impacter non seulement l’esthétique du sourire, mais aussi le confort au quotidien. Au cabinet des Drs Élodie Sebag et Garance Sportich, situé aux 5 Avenues à Marseille, nous vous proposons des solutions durables et sur-mesure pour restaurer votre dentition et retrouver une mastication optimale.
Les implants dentaires constituent une option fiable pour remplacer une dent manquante de façon discrète et confortable. Grâce à des matériaux biocompatibles et des techniques de pointe, ils assurent une parfaite intégration dans la mâchoire et une stabilité à long terme.
Selon vos besoins, nous privilégions une approche globale en intégrant nos réalisations prothétiques conçues sur mesure à votre morphologie et à votre sourire.
Notre approche allie expertise et technologie pour vous offrir des traitements personnalisés, avec un accompagnement à chaque étape afin d’assurer votre confort et votre satisfaction. N’hésitez pas à nous consulter pour discuter des meilleures options adaptées à votre situation.
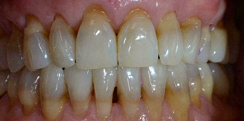
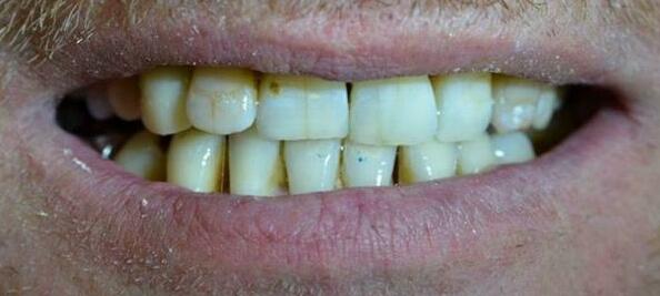
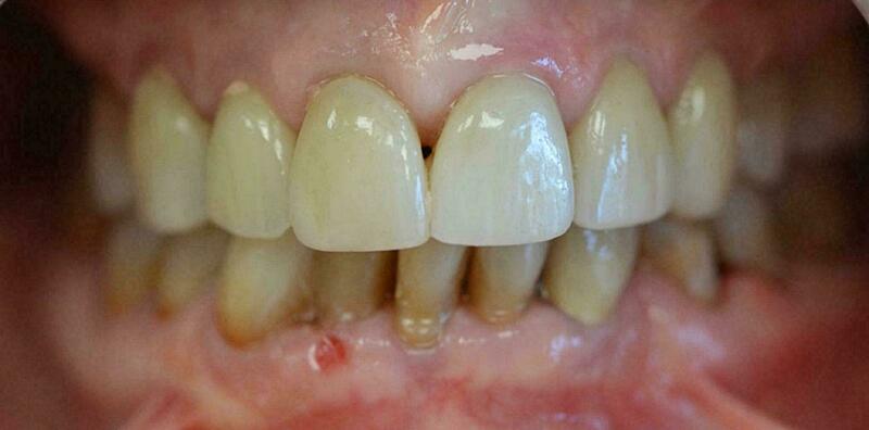
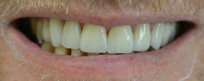
AVANT / APRES, NOS DIFFERENTS SOINS DENTAIRES
RETROUVEZ-NOUS AUX CINQ AVENUES À MARSEILLE (4ÈME)
Notre Cabinet Dentaire 10 Foch est idéalement situé en plein cœur de Marseille, dans le dynamique 4ème arrondissement.
Facilement accessible, il se trouve face à un arrêt de tram et de bus des Cinq Avenues, à seulement 50 mètres de la station de métro Cinq Avenues.
Notre équipe vous accueille dans un cadre chaleureux et moderne, où le charme de l’architecture marseillaise se mêle à un design contemporain. Le cabinet est équipé des dernières technologies dentaires pour vous garantir des soins de qualité dans un environnement confortable et apaisant.
Informations pratiques
Accès
Rendez-vous
| Lundi | 9h - 18h30 |
| Mardi | 9h - 18h30 |
| Mercredi | 9h - 18h30 |
| Jeudi | 9h - 18h30 |
| Vendredi | 9h - 18h30 |
| Samedi | Fermé |
| Dimanche | Fermé |
A savoir
Facilement accessible, devant arrêt de tram (Ligne 2) et de bus (Lignes 6, 7, 42, 72, 81) et 50m du métro cinq avenues (Ligne 1).
